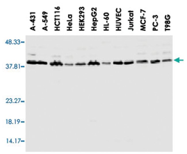
Ahsa1/Ahsa2, Rabbit, Polyclonal Antibody, Abnova, Rabbit polyclonal antibody raised against Ahsa1/Ahsa2, Each
$ 1,959.63
|
|
Details:
Rabbit polyclonal antibody raised against Ahsa1/Ahsa2.
Additional Information
| SKU | 10285903 |
|---|---|
| UOM | Each |
| UNSPSC | 12352203 |
| Manufacturer Part Number | PAB15426 |
