anti-HO-1/HMOX1/HSP32, Polyclonal, Rabbit Polyclonal Antibody, Each
$ 278.78
|
|
Details:
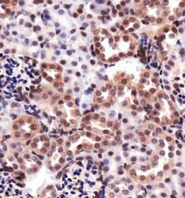
HO-1/HMOX1/HSP32 Polyclonal specifically detects HO-1/HMOX1/HSP32 in Human, Mouse samples. It is validated for Immunohistochemistry, Immunocytochemistry/Immunofluorescence, Immunohistochemistry-Paraffin.
Additional Information
| SKU | 10151020 |
|---|---|
| UOM | Each |
| UNSPSC | 60104000 |
| Manufacturer Part Number | NBP177459SS |
