anti-IL-27/IL-35 EBI3 Subunit, Polyclonal, Rabbit Polyclonal Antibody, Each
$ 591.30
|
|
Details:
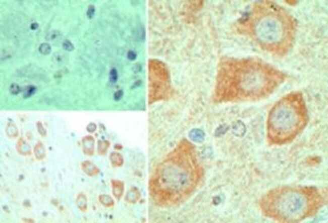
EBI3 Polyclonal specifically detects EBI3 in Human, Mouse, Rat samples. It is validated for Western Blot, Immunohistochemistry, Immunohistochemistry-Paraffin.
Additional Information
| SKU | 10151899 |
|---|---|
| UOM | Each |
| UNSPSC | 60104000 |
| Manufacturer Part Number | NBP203944 |
