anti-Lysine (K)-specific Demethylase 3A/KDM3A/JMJD1A, Clone: 1E12, Mouse Monoclonal Antibody has been used in 1 publication, Each
$ 278.78
|
|
Details:
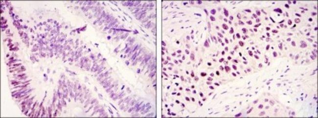
Lysine (K)-specific Demethylase 3A/KDM3A/JMJD1A Monoclonal specifically detects Lysine (K)-specific Demethylase 3A/KDM3A/JMJD1A in Human samples. It is validated for Western Blot, Simple Western, ELISA, Immunohistochemistry, Immunocytochemistry/Immunofluorescence, Immunohistochemistry-Paraffin.
Additional Information
| SKU | 10150827 |
|---|---|
| UOM | Each |
| UNSPSC | 60104000 |
| Manufacturer Part Number | NBP151678SS |
