anti-Nanog, Polyclonal, Rabbit Polyclonal Antibody has been used in 2 publications, Each
$ 674.33
|
|
Details:
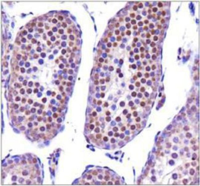
Nanog Polyclonal specifically detects Nanog in Mouse samples. It is validated for Immunohistochemistry, Immunocytochemistry/Immunofluorescence, Immunohistochemistry-Paraffin, Western Blot (Negative).
Additional Information
| SKU | 10152020 |
|---|---|
| UOM | Each |
| UNSPSC | 60104000 |
| Manufacturer Part Number | NBP213177 |
