anti-Nbs1, Polyclonal, Rabbit Polyclonal Antibody has been used in 2 publications, Each
$ 674.33
|
|
Details:
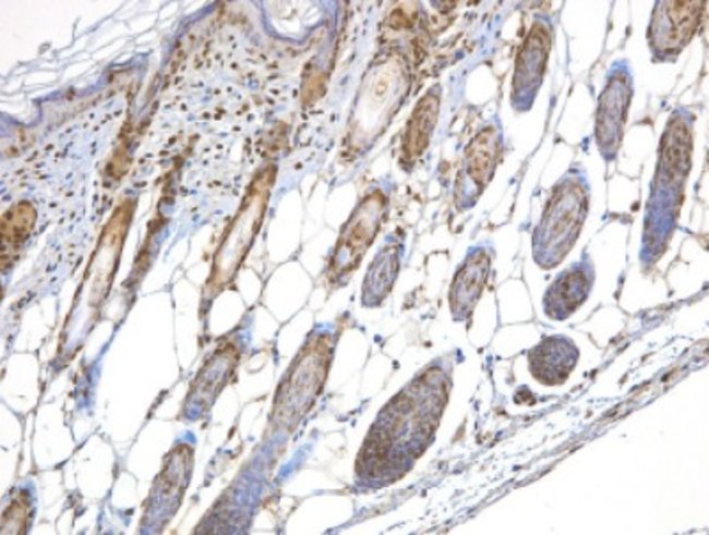
Nbs1 Polyclonal specifically detects Nbs1 in Human, Mouse samples. It is validated for Western Blot, Immunohistochemistry, Immunohistochemistry-Paraffin.
Additional Information
| SKU | 10148299 |
|---|---|
| UOM | Each |
| UNSPSC | 60104000 |
| Manufacturer Part Number | NBP106705 |
