anti-NFkB1/NFkB p105, Polyclonal, Rabbit Polyclonal Antibody has been used in 5 publications, Each
$ 278.78
|
|
Details:
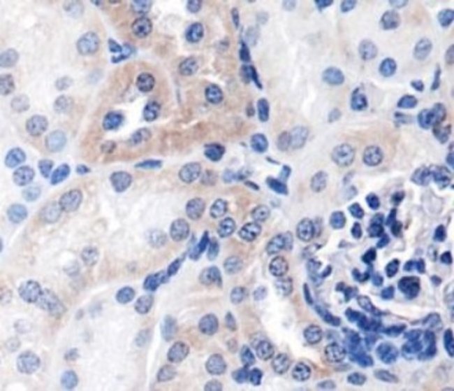
NFkB1/NFkB p105 Polyclonal specifically detects NFkB1/NFkB p105 in Human, Mouse samples. It is validated for Western Blot, Simple Western, Immunohistochemistry, Immunocytochemistry/Immunofluorescence, Immunohistochemistry-Paraffin, Immunohistochemistry-Frozen.
Additional Information
| SKU | 10150999 |
|---|---|
| UOM | Each |
| UNSPSC | 60104000 |
| Manufacturer Part Number | NBP177395SS |
