anti-RUNX3/CBFA3, Clone: 2B9G4, Mouse Monoclonal Antibody, Each
$ 674.33
|
|
Details:
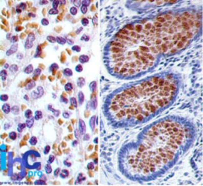
RUNX3/CBFA3 Monoclonal specifically detects RUNX3/CBFA3 in Human samples. It is validated for Western Blot, Immunohistochemistry, Immunohistochemistry-Paraffin.
Additional Information
| SKU | 10152188 |
|---|---|
| UOM | Each |
| UNSPSC | 60104000 |
| Manufacturer Part Number | NBP222390 |
