Sirtuin 1/SIRT1 Mouse anti-Human, Mouse, Rat, Primate, Rabbit, Clone: 1F3, Mouse Monoclonal Antibody has been used in 5 publications, Each
$ 665.69
|
|
Details:
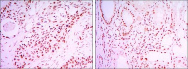
Sirtuin 1/SIRT1 Monoclonal specifically detects Sirtuin 1/SIRT1 in Human, Mouse, Rat, Primate, Rabbit samples. It is validated for Western Blot, Flow Cytometry, ELISA, Immunohistochemistry, Immunocytochemistry/Immunofluorescence, Immunohistochemistry-Paraffin, Flow (Intracellular), Immunohistochemistry Free-Floating.
Additional Information
| SKU | 10150820 |
|---|---|
| UOM | Each |
| UNSPSC | 60104000 |
| Manufacturer Part Number | NBP151641 |
