anti-SLC31A1/CTR1, Polyclonal, Rabbit Polyclonal Antibody has been used in 24 publications, Each
$ 665.69
|
|
Details:
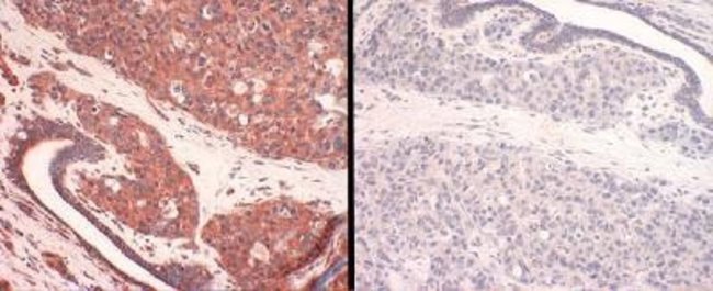
SLC31A1/CTR1 Polyclonal specifically detects SLC31A1/CTR1 in Human, Mouse, Rat, Porcine, Canine, Xenopus, Zebrafish samples. It is validated for Western Blot, Immunohistochemistry, Immunocytochemistry/Immunofluorescence, Immunohistochemistry-Paraffin, Immunohistochemistry-Frozen.
Additional Information
| SKU | 10146140 |
|---|---|
| UOM | Each |
| UNSPSC | 60104000 |
| Manufacturer Part Number | NB100402 |
