TCERG1 Rabbit anti-Human, Mouse, Polyclonal, Rabbit Polyclonal Antibody has been used in 4 publications, Each
$ 782.04
|
|
Details:
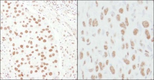
TCERG1 Polyclonal specifically detects TCERG1 in Human, Mouse samples. It is validated for Western Blot, Immunohistochemistry, Immunohistochemistry-Paraffin.
Additional Information
| SKU | 10191919 |
|---|---|
| UOM | Each |
| UNSPSC | 12352203 |
| Manufacturer Part Number | NB300214 |
