anti-Tenascin C, Clone: 4C8MS, Mouse Monoclonal Antibody has been used in 22 publications, Each
$ 296.33
|
|
Details:
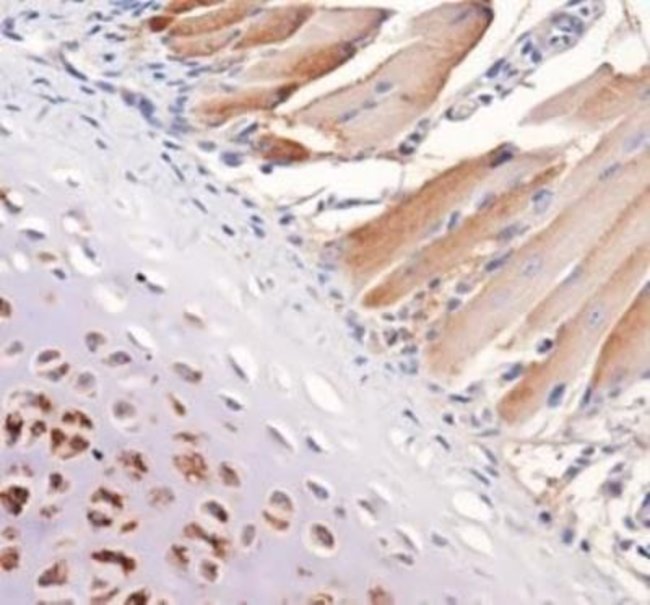
Tenascin C Monoclonal specifically detects Tenascin C in Human, Mouse, Rat, Feline samples. It is validated for Western Blot, Flow Cytometry, ELISA, Immunohistochemistry, Immunocytochemistry/Immunofluorescence, Immunohistochemistry-Paraffin, Immunohistochemistry-Frozen, Flow (Intracellular), CyTOF-ready.
Additional Information
| SKU | 10147429 |
|---|---|
| UOM | Each |
| UNSPSC | 60104000 |
| Manufacturer Part Number | NB11068136SS |
