anti-Troponin I Type 3 (cardiac), Clone: 2C9, Mouse Monoclonal Antibody, Each
$ 278.78
|
|
Details:
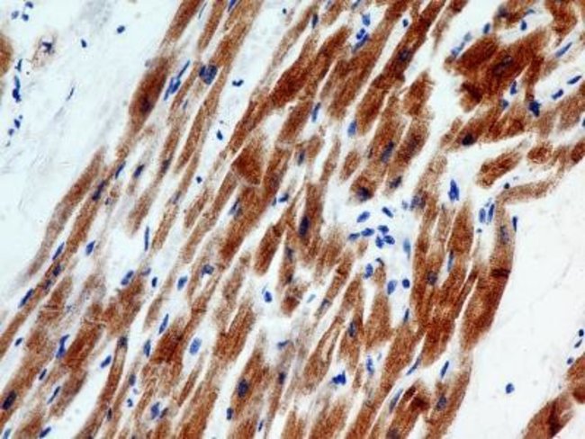
Troponin I Type 3 (cardiac) Monoclonal specifically detects Troponin I Type 3 (cardiac) in Human, Mouse samples. It is validated for Western Blot, Immunohistochemistry, Immunohistochemistry-Paraffin.
Additional Information
| SKU | 10155161 |
|---|---|
| UOM | Each |
| UNSPSC | 60104000 |
| Manufacturer Part Number | NBP235336SS |
