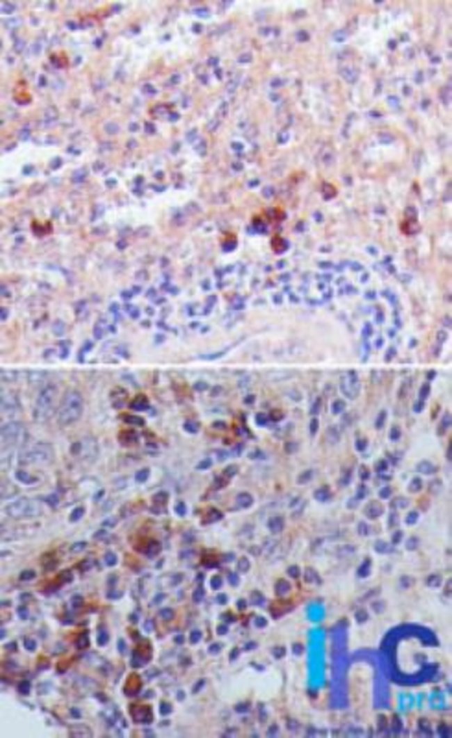
anti-TSLP, Clone: 55N1D10, Mouse Monoclonal Antibody has been used in 1 publication, Each
$ 631.14
|
|
Details:
TSLP Monoclonal specifically detects TSLP in Human, Rabbit samples. It is validated for Western Blot, Immunohistochemistry, Immunohistochemistry-Paraffin.
Additional Information
| SKU | 10153405 |
|---|---|
| UOM | Each |
| UNSPSC | 60104000 |
| Manufacturer Part Number | NBP227326 |
