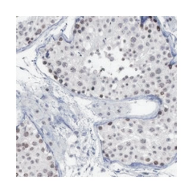
BRD1, Rabbit, Polyclonal Antibody, Abnova, Rabbit polyclonal antibody raised against recombinant BRD1, Each
$ 1,750.95
|
|
Details:
This gene encodes a protein of unknown function. The protein contains a bromodomain, a sequence motif often found in transcriptional coactivators, and localizes to the nucleus in testis and several other cell types. [provided by RefSeqSequence: IAAEVGQSSMWISTDAAASVLEPLKVVWAKCSGYPSYPALIIDPKMPRVPGHHNGVTIPAPPLDVLKIGEHMQTKSDEKLFLVLFFDNKRSWQWLPKSKMVPLGIDETIDKLKMMEGRNSSIRKAVRIAFDRAMNHLSRVHGEPTSD
Additional Information
| SKU | 10286403 |
|---|---|
| UOM | Each |
| UNSPSC | 12352203 |
| Manufacturer Part Number | PAB20028 |
