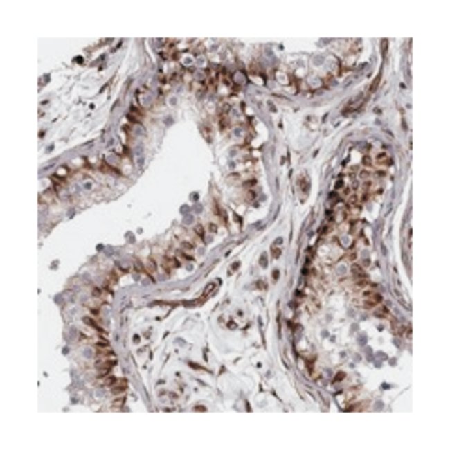
C17orf70 Rabbit anti-Human, Polyclonal Antibody, Abnova, Rabbit polyclonal antibody raised against recombinant C17orf70, Each
$ 1,757.70
|
|
Details:
FAAP100 is a component of the Fanconi anemia (FA; MIM 277650) core complex and is required for core complex stability and FANCD2 (see MIM 227646) monoubiquitination (Ling et al., 2007 [PubMed 17396147]).[supplied by OMIMSequence: VLCSVSPSGSRVPHDLLGGSGGFTLEDALFGLLFGADATLLQSPVVLCGLPDGQLCCVILKALVTSRSAPGDPNALVKILHHLEEPVIFIGALKTEPQAAEAAENFLPDEDVHCDC
Additional Information
| SKU | 10287969 |
|---|---|
| UOM | Each |
| UNSPSC | 12352203 |
| Manufacturer Part Number | PAB21804 |
