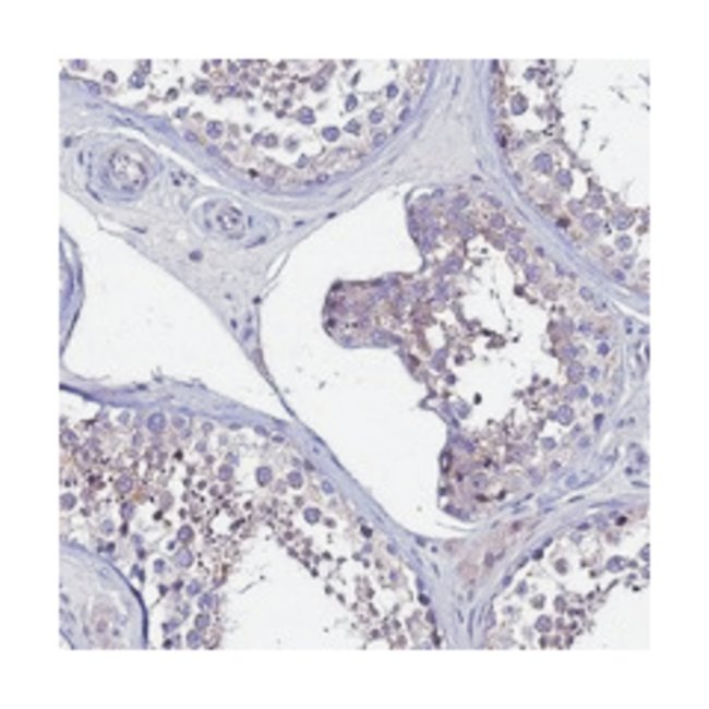
IGSF11, Rabbit, Polyclonal Antibody, Abnova, Rabbit polyclonal antibody raised against recombinant IGSF11, Each
$ 2,214.00
|
|
Details:
IGSF11 is an immunoglobulin (Ig) superfamily member that is preferentially expressed in brain and testis. It shares significant homology with coxsackievirus and adenovirus receptor (CXADR; MIM 602621) and endothelial cell-selective adhesion molecule (ESAM).[supplied by OMIMSequence: PPKCSSAKAFHTEISSSDNNTLTSSNAYNSRYWSNNPKVHRNTESVSHFSDLGQSFSFHSGNANIPSIYANGTHLVPGQHKTLVVTANRGSSPQVMSRSNGSVSRKP
Additional Information
| SKU | 10290170 |
|---|---|
| UOM | Each |
| UNSPSC | 12352203 |
| Manufacturer Part Number | PAB24502 |
