Ki-67 Mouse anti-Human, Unlabeled, Clone: 35, BD, Mouse Monoclonal Antibody, Each
|
|
Details:
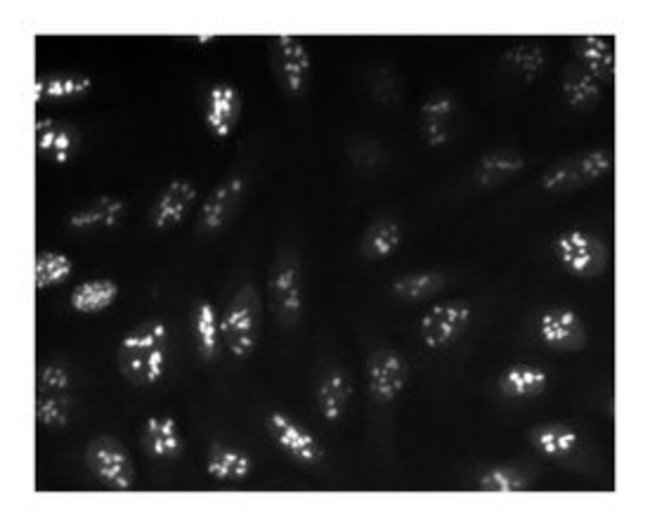
Cellular proliferation is a complex multi-faceted process, central to biological events ranging from embryonic development to wound healing. Although proliferation is tightly controlled, dysregulation often results in tumorigenesis. The regulatory process involves the expression of many cell-cycle-associated proteins that are subject to cycle-dependent modification. Such protein expression may be monitored to assess the proliferative capacity of cells, especially tumorigenic cells.The Ki-67 antigen is a nuclear protein expressed exclusively in proliferating cells during all active parts of the cell cycle. However, it is absent in quiescent cells and during DNA repair. The distribution of Ki-67 changes during different stages of the cell cycle. During G1, it is localized to the perinuclear region, but is primarily found in the nuclear matrix in later phases. During mitosis, it associates with the condensed chromosomes. The nuclear localization of Ki-67 and strict association with the cell cycle indicate its importance in the regulation of cell division. Therefore, Ki-67 has become an important marker of proliferating cells, and may also be a marker for disitinct nuclear matrix compartments.Immunofluorescence, Western Blotting
Additional Information
| SKU | 10135218 |
|---|---|
| UOM | Each |
| UNSPSC | 12352203 |
| Manufacturer Part Number | 610969 |
