MVP Rabbit anti-Human, Polyclonal Antibody, Abnova, Rabbit polyclonal antibody raised against recombinant MVP, Each
|
|
Details:
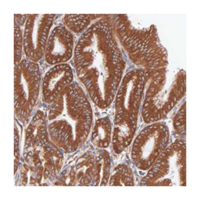
This gene encodes the major vault protein which is a lung resistance-related protein. Vaults are multi-subunit structures that may be involved in nucleo-cytoplasmic transport. This protein mediates drug resistance, perhaps via a transport process. It is widely distributed in normal tissues, and overexpressed in multidrug-resistant cancer cells. The protein overexpression is a potentially useful marker of clinical drug resistance. This gene produces two transcripts by using two alternative exon 2 sequences; however, the open reading frames are the same in both transcripts. [provided by RefSeqSequence: VFEEVLDLVDAVILTEKTALHLRARRNFRDFRGVSRRTGEEWLVTVQDTEAHVPDVHEEVLGVVPITTLGPHNYCVILDPVGPDGKNQLGQKRVVKGEKSFFLQPGEQLEQGIQDVYVLS
Additional Information
| SKU | 10292403 |
|---|---|
| UOM | Each |
| UNSPSC | 12352203 |
| Manufacturer Part Number | PAB28550 |
